伊勢原駅前歯科医院

歯科用CT/伊勢原駅前歯科医院 伊勢原駅徒歩1分
神奈川県伊勢原市桜台1-4-2 たくみビル3F

電話番号0463-95-6815  
トップページ予防歯科インプラント矯正歯科ホワイトニング審美治療医院案内お問い合わせ


歯科用CT


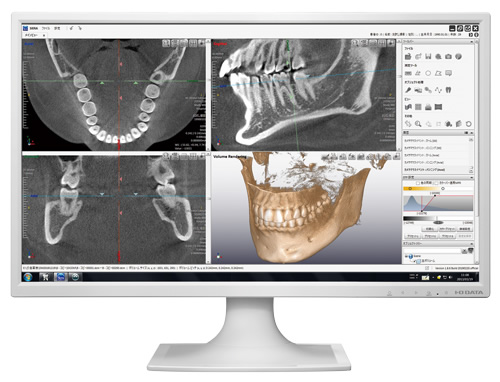
NAOMI-CT
歯科用CTはRF社製 NAOMI-CTを導入しています。頭部の周りを360°回転して撮影するフルスキャンCTで、歯槽骨の形状や神経の位置を立体的に観察することができます。CT撮影データはシュミレーションソフトを使用し治療計画に活用します。

利点その@
従来と比べ24分の1のX線量で、撮影でき体にも優しい

利点そのA
3次元の立体画像での診断が可能になるため、見えなかったものが見えるようになり、より確実な診断が可能となる。









口腔内カメラ
ボールペンと同じサイズで、ヘッドの部分が小さいためお口の隅々まで撮影する事が出来ます。当クリニックでは、撮影後の写真をモニターで確認していただき、虫歯や、治療経過の様子を明確に知ることにより、より高度な医療サービスを提供していきます。

  伊勢原駅前歯科医院
神奈川県伊勢原市桜台1-4-2 たくみビル3F
TEL:0463-95-6815

トップページ
医院案内
保険外診療の費用
歯科用CT
休診日・お知らせ
初診予約
アクセス
スタッフ紹介
フォトギャラリー
お問い合わせ

オーラルフレイル予防
予防歯科
インプラント
インプラント以外の選択肢
矯正歯科
マウスピース矯正
ホワイトニング
審美治療
歯周病検査
スポーツマウスガード
求人情報
歯科医師求人
歯科衛生士求人
看護師求人
歯科受付求人
歯科助手求人
リンク



伊勢原駅前歯科医院  神奈川県伊勢原市桜台1-4-2 たくみビル3F
小田急線 伊勢原駅 70メートル 徒歩1分
電話 0463-95-6815


沿線主要駅からの乗車時間
新松田21分・渋沢14分・秦野10分・東海大学前6分・鶴巻温泉4分・愛甲石田3分・本厚木6分・海老名10分・座間18分

小田急線 周辺駅
小田原−足柄−螢田−富水−栢山−開成−新松田−渋沢−秦野−東海大学前−鶴巻温泉−伊勢原−愛甲石田−本厚木−厚木−海老名−座間−相武台前−小田急相模原−相模大野−町田−